概要
画像情報科には、8名の診療放射線技師がいます。放射線科医師1名及び事務員1名で協力して被ばくの管理(低減・説明)などを行っています。
- 一般撮影
- 乳房撮影
- X線テレビ検査
- 骨密度測定
- CT検査
- MRI検査
- 血管撮影
資格・認定一覧
| 資格名 | 人数 |
|---|---|
| 放射線管理士 | 3名 |
| 放射線機器管理士 | 2名 |
| 検診マンモグラフィ撮影認定診療放射線技師 | 3名 |
| 肺がんCT検診認定技師 | 1名 |
| X線CT 認定技師 | 4名 |
| Ai認定診療放射線技師 | 3名 |
| 日本消化器がん検診精度管理評価機構専門技師認定 | 1名 |
| 胃X線検診読影補助認定技師 | 1名 |
| 第1種放射線取扱主任者 | 1名 |
| 画像等手術支援認定診療放射線技師 | 1名 |
| 医療画像情報精度管理士 | 1名 |
スタッフ一同、”市民の皆さまの心と身体の健康をささえる”ために、“患者さんに優しい、苦痛の少ない検査で、多くの情報を早く提供すること”“常に専門性を高め、患者さん中心のチーム医療を行うこと”を心掛けて検査させていただいています。また、64列マルチスライスCT、高磁場1.5テスラMRIを設置して医療機関の皆様との共同利用をすすめておりますのでどうぞご利用ください。
装置一覧紹介
X線撮影装置(3台)

X線を用いて胸部、腹部、骨などの撮影をします。撮影にはFPD(フラットパネルディテクタ)システムを使用しています。これにより、従来よりも少ない量のX線で高精細な画像を撮影することが出来ます。また、撮影後すぐに画像を確認できるので患者さんの負担軽減や待ち時間短縮につながっています。
乳房撮影装置(1台)

3Dマンモグラフィ(トモシンセシス)も撮影可能な乳房(脂肪と乳腺)専用のデジタル撮影装置を使用して検査します。
「NPO法人 日本乳がん精度管理中央機構」が認定する「検診マンモグラフィ読影認定医師」(3名)、「検診マンモグラフィ撮影認定診療放射線技師」(3名)の資格取得者が業務に従事しています。毎日の精度管理、撮影技術の向上により検診精度をより高め、マンモグラフィ検査を安心して受けていただけるよう努めてまいります。
X線テレビ装置(2台)


身体の透視像を観察しながら撮影をする装置です。
胃や腸、その他造影剤を用いた検査をしています。
移動型X線撮影装置(3台)

撮影室以外(病室・手術室など)での撮影に使用しています。
外科用イメージ装置(2台)


手術中に透視像を観察するための装置です。
X線骨密度測定装置(1台)

X線を利用して骨の量、骨密度を測定します。X線被ばくがとても少ない装置です。また、検査開始から結果ができるまで約5分という短い時間での検査が可能です。
骨密度って?骨粗鬆症って? (PDFファイル: 147.6KB)
X線CT(コンピュータ断層)撮影装置(64マルチスライスCT)(1台)




X線を利用して人体の様々な断面の画像を得ることができます。
内臓脂肪量の計測も行っています。(健康管理センター オプション)
CT検査をお受けになる患者さんへ (PDFファイル: 179.9KB)
磁気共鳴撮像(MRI)装置(1.5テスラ)(1台)

磁石と電波を利用して人体の様々な断面の画像を得ることができます。
X線による被ばくがないのが特徴です。
ペースメーカや動脈瘤のクリップを装着されている方は、検査できない場合があります。
脳ドックも行っています。(健康管理センター オプション)
MRI検査をお受けになる患者さんへ (PDFファイル: 101.5KB)
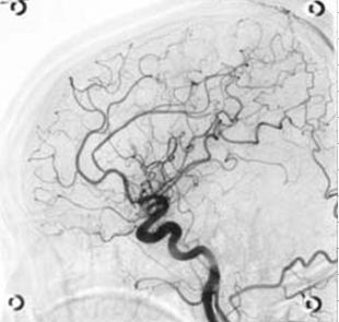
血管撮影装置(1台)


【脳血管造影像】
血管内にカテーテルという細い管を挿入し、その管から造影剤を注入して撮影することで、血管の形状を詳細に観察できます。また、血管の診断だけでなく、治療(IVR)も行うことが可能です。
X線撮影Q&A
X線撮影検査を受ける際に寄せられたご質問は、次の「X線撮影Q&A」をご覧ください。
